ALHAMDULILLAH
OR Room
Beautiful Anatomy of the Brain
Carpal Tunnel Release Surgery
Cranioplasty (Titanium mesh)
Endoscopic Discectomy
Fluoroscopic view of Odontoid (C2) Screw
Look at the size of Disc Prolapse
Occipito-Cranial (OC) Fusion Postop Xrays
Spinal Fixation with Screw and Rods
Odontoid Screw (C2) Postop CT Coronal View
Odontoid Screw (C2) Postop CT Sagittal View
Posterior Lumbar Interbody Cage (PLIF)
Severe Scoliosis
Transpedicular Screws with Posterior Decompression
Treating Carpal Tunnel Syndrome
Very Small Neck Incision for Cervical Disc Prolapse Surgery
Complex Spinal Fixation
Fluoroscopic View of Spinal Instrumentation
Large Disc Prolapse removed
Cervical PID C6-C7 treated with Zero Profile Disc Replacement
Cervical Stenosis (C2,C3 & C3,C4) treated with ACCF
Cervical Stenosis (C3,C4 & C4,C5) treated with ACCF
Complete Excision of Large Occipital Tumor
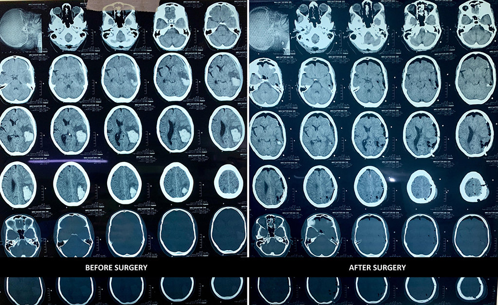
Large Intracranial (IC) Bleed treated with Craniotomy & Evacuation
Large Lumbar Disc Prolapse
Multilevel Cervical Stenosis treated with Posterior Decompression + Lateral Mass Screws Fixation
Surgical Loupes
During Fellowship at Memorial Hospital Istanbul
In Surgeon_s Room after the Surgery
Operating on a Pituitary Tumor
Operating on Anterior Skull BAse Tumor
Operating on Lumbar PID (Disc Prolapse)
Performing Spinal Fixation Surgery
Ready to Operate
Spinal Instrumentation
Spinal Localization under Fluoroscopy
Neurosurgery Boot Camp AKUH 2025
Neurosurgery Boot Camp LNH 2024
Pakistan Society of Neurosurgeons Annual Meeting AKUH 2024
Taking Mocks Viva for Exam Preparation
Neurosurgery Boot Camp AKUH 2024
Annual Scientific Meeting 2023 (KL, Malaysia)
Poster Presentation NAM 2023 (KL, Malaysia)
with Prof Onur Yaman at Istanbul 2024
Beautiful Coastline (Izmir, Turkey 2024)
Burj Khalifa (Dubai 2023)
Bursa (Turkey 2024)
Chin Swee Caves Temple (Genting Highlands, Malaysia 2023)
Dolmabahçe Clock Tower (Istanbul, Turky 2024)
Eiffel Tower (Paris, France 2022)
Grand Bazaar (Istanbul, Turkey 2024)
Institut de France (Paris, France 2022)
Istiklal Street (Isanbul, Turkey 2024)
Memorial Hospital (Istanbul, Turkey 2024)
Radisson Blu (Doha, Qatar 2024)
Random Click (Izmir, Turkey 2024)
Sagrada Familia (Barcelona, Spain 2022)
Suleymani Mosque (Istanbul Turkey 2024)
Tower Bridge (London, UK 2024
Beautiful Car Art (Istnabul, Turkey 2024)